
2025.12.17 BLXライブオペセミナー
ストローマン主催のライブオペコースを埼玉医院にて行いました。 …
続きを読む→
2025.12.29

当院では、患者さんが抱えていらっしゃるお口のお悩みや疑問・不安などにお応えする機会を設けております。どんなことでも構いませんので、私たちにお話ししていただけたらと思います。
ご興味がある方は下記からお問い合わせください。

1本36万円~+税
月額5,858円〜(税別)も可能
※デンタルローン利用の場合は申込金10万円を最初にいただきます。
その10万円を控除した額がローンの対象となります。

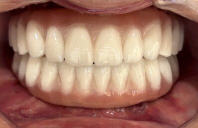
片顎198万円~+税
月額17,002円〜(税別)も可能
※デンタルローン利用の場合は申込金10万円を最初にいただきます。
その10万円を控除した額がローンの対象となります。